Edmond, OK KöR Teeth Whitening
One of the easiest ways to quickly improve the beauty and youthful appearance of your smile is through professional whitening. There are various bleaching systems available. One of Dr. Jerome Cha’s favorites is KöR deep bleaching.
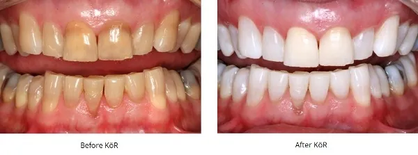
Deep Bleaching with KöR
KöR is one of the most effective whitening systems. KöR whitening gel, because of the way it is manufactured, stored, and freshly mixed at the time of use, gives maximum whitening strength. Depending on the amount of whitening needed, it can be delivered as just take-home treatments, or combined with one or more in-office whitening sessions. It provides brilliant, natural-looking results and does what other brands can’t— significantly improves intrinsic and tetracycline stains. With KöR, your smile can get up to 16 shades lighter!
How Does it Work?
We generally start with an examination and cleaning to ensure everything is healthy and ready for the strong bleaching chemical. From there, we’ll make an impression of your teeth in order to create custom trays designed to fit snugly. When the trays are ready, we’ll use them to apply a rejuvenating and conditioning gel to hydrate your teeth and help the bleaching gel penetrate deeply. We’ll also give you a desensitizing gel to apply daily to ensure you feel little or no sensitivity. Then we’ll send you home with the trays, desensitizing gel, and bleaching gel to begin your at-home treatment.
To get started, simply place the gel in your trays and wear them at a convenient time at home for at least 20 minutes each day for 14 days. Or if you prefer, you may wear them overnight.
The at-home sessions can be combined with one or more in-office treatments. Dr. Cha will coat your gums with a protective gel and apply freshly mixed maximum strength KöR bleaching gel to your teeth.
That’s it! Most people see the results they were hoping for after just one round of treatment. But for an even brighter smile, you can always repeat the process.
Teeth bleaching is a permanent process. The stains that are removed are completely removed. However, life will continue to impart new stains on your smile, especially if you drink coffee or smoke. So touch-up treatments maybe once a year are recommended. But even without that, your smile will always be whiter than it would have been without treatment.
Photos courtesy of KöR
Your Brightest Smile Awaits
To experience your brightest smile, call our office at (405) 906-3366 to schedule your initial dental exam. Or you may use our appointment request form and we will call you.

                    